Freesolve™ RMS 是百多力推出的新一代可吸收镁合金冠脉支架,属第三代可吸收金属支架(RMS),2024 年 2 月获 CE 批准上市。产品以专利 BIOmag® 镁合金为骨架,搭配 BIOlute 可降解涂层,兼顾高机械性能与生物相容性,支架梁最薄至 99μm,尺寸覆盖更广。支架可在 12 个月内完全降解吸收,恢复血管自然结构,不影响后续治疗;临床数据显示其 24 个月靶病变失败率低、无支架血栓,安全性与二代药物洗脱支架相当,适用于症状性冠心病的冠脉新生病变治疗。

我院于2025年7月份通过港澳药械通项目正式引入我院,这也成为中国内陆首家可植入该款支架的医院。截至目前为止,我中心共为11位患者植入共12枚该款支架。

上图为Freesolve金属可降解支架,1年后支架梁完全溶解消失,恢复自身血管
该款支架于植入后1年可完成99.3%的降解,实现真正的介入无植入效果。为担心支架永久留存在体内的患者彻底打消疑虑,真正恢复您自身的血管。

上图为目前国内应用的聚乳酸支架,经过2年仍可见支架梁存在
目前国内已上市的两款可吸收支架均为聚合物可吸收支架,支架材质为可吸收聚乳酸,聚乳酸材质的最大不足在于其机械特性较弱。与金属材质相比,聚乳酸可吸收支架不能保证同样的支撑力,并且更易发生弹性回缩,因此无法有效改善冠脉病变部位的管腔直径。此外,聚乳酸可吸收支架的支架降解时间为 24-36 个月,较长的降解时间有可能导致晚期血栓形成。
病例展示
男性,46岁,胸闷1个月,既往高脂血症病史,相关检查:
1、总胆固醇:7.16mmol/L;低密度脂蛋白:4.61mmol/L;甘油三酯:3.46mmol/L;高密度脂蛋白:1.14mmol/L;脂蛋白(a): 364.6mg/L;小而密低密度脂蛋白:697.80mg/L,脂蛋白磷脂酶A2(Lp-PLA2):279 ng/ml (<200);
3、动态心电图:96383次/24小时;平均心率:70次/分;偶发房早,偶发室早;发作性心肌缺血;
4、动态血压:全天平均血压:128/77mmHg;白天血压平均值:129/79mmHg;夜间血压平均值:119/67mmHg;血压负荷:收缩压:白天21.8%;夜间26.7%;舒张压:白天27.4%;夜间26.7%;
5、用药:阿司匹林 100mg QD;替格瑞洛 90mg BID;阿托伐他汀20mg QD;曲美他嗪 35mg BID;雷贝拉唑钠肠溶片 10mg QD;拖来西单抗 150mg/2W

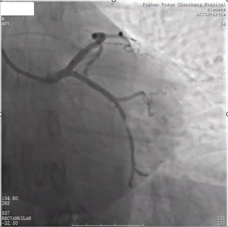
回旋支中远段99%狭窄

植入Freesolve 3.0/18可降解支架

复查OCT,支架贴壁膨胀均较好
总结
韩巍教授指出百多力 Freesolve™可吸收镁合金支架核心适用人群:
1、 较年轻或预期寿命较长的患者得益于支架的完全可吸收特性,可保留血管的生理舒缩功能,为未来血运重建治疗保留选择空间;
2、希望体内无永久性异物残留的患者适合追求无植入物残留、恢复血管自然生理功能的患者;
3、未来血运重建风险较高的患者支架的可吸收特性可避免 “支架笼” 效应,为后续冠状动脉旁路移植术或再次介入治疗保留操作灵活性。
技术专家:

