近日,佛山复星禅城医院心血管内科彭宇程教授、韩巍教授、张晓聪教授团队在中山大学附属第一医院庄晓东教授、姚凤娟教授协助下,首次应用中国首个“中欧双认证”创新原研DragonFly™经导管二尖瓣夹系统(以下简称DragonFly™),成功为一名重度二尖瓣反流患者行经导管二尖瓣缘对缘修复术(TEER)。本次手术的顺利完成,标志着该团队在结构性心脏病介入诊疗领域的技术能力与综合救治水平再获重要突破。


病例简介
患者为 82 岁男性,既往病史复杂,包括急性冠脉综合征、心源性休克、左心衰竭合并急性肺水肿、脑梗死后遗症、慢性肾功能不全等。术前心脏超声检查提示二尖瓣脱垂并极重度关闭不全,二尖瓣极大量反流,左室舒张及收缩功能减低,伴少量三尖瓣反流及少量主动脉瓣反流。入院诊断为二尖瓣关闭不全,高血压病 2 级,心房颤动。
术前影像

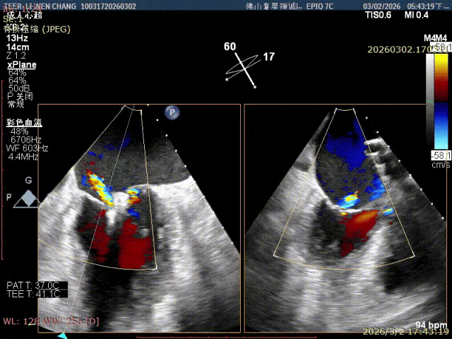
X-plane 1区 后叶脱垂

X-plane1区 反流重度

3D 1区脱垂
手术难点
1、病变位于二尖瓣1区后叶脱垂,瓣下腱索结构丰富,器械操作空间受限,对定位与捕获精度要求高;
2、病变累及范围较广,反流程度重,术中存在需植入多枚瓣膜夹的可能性。
手术策略
彭宇程教授团队经充分沟通及分析,结合患者病变区域1区及瓣叶长度适宜等解剖特点,计划于二尖瓣1区首先植入1枚XW0612型号DragonFly™二尖瓣夹,术中依据实时跨瓣压差及反流程度评估结果,决定是否追加植入瓣膜夹。
手术过程
彭宇程教授团队行房间隔穿刺,高度4.3cm,依次置入导引鞘和XW0612瓣膜夹,瓣上精准调整测试瓣膜夹Position、Orientation、Trajectory,跨瓣后打开瓣膜夹捕捞,确认前后瓣叶平铺在夹臂上,Gripper down后,慢慢关闭瓣膜夹夹臂,释放前后都进行评估,确认夹子内外两侧仍存在少量反流,决定在第一枚夹子外侧补放一枚SN0409瓣膜夹,瓣膜夹捕获瓣叶后,评估剩余瓣口面积,跨瓣压差,残余反流,取得优秀的效果,决定释放;术后即刻评估显示二尖瓣反流得到显著控制,跨瓣压差约5mmHg,肺静脉逆流征象明显改善,血流动力学效果优异。

释放XW0612瓣膜夹

组织桥稳定

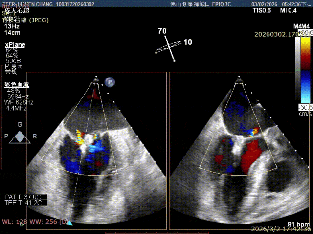
夹子内外侧均有微量反流, 且一区还存在脱垂

在夹子外侧补放一枚SN0409夹

外侧反流消失

组织桥稳定

反流减少至微量
彭宇程教授在术后总结道:“本例重度二尖瓣反流患者高龄、基础疾病多、心脏解剖条件复杂,对术者的操作经验、器械操控能力及术中应变决策均提出极高要求。我们团队依托规范的介入流程、精准的超声评估及灵活的手术策略,顺利完成双枚瓣膜夹植入。此次手术的成功实施,是我院在结构性心脏病微创介入治疗领域的又一重要里程碑,进一步夯实区域内经导管二尖瓣修复技术的临床应用基础,也为更多高龄、高危、不耐受传统外科手术的重症二尖瓣反流患者提供了安全、可行、高效的微创治疗新方案。”
技术专家:


